Leistungen
Histologie
Die Histologie beschäftigt sich mir der morphologischen Gewebediagnostik anhand von Standardfärbungen.
Befundauskünfte bzw. Befundanforderungen und Dringlichkeitsanfragen richten Sie bitte an unser Sekretariat, ebenso wie Anmeldungen zu Gefrierschnitten oder wenn sie Kontakt zu einem Arzt herstellen wollen, um einen Fall zu diskutieren.

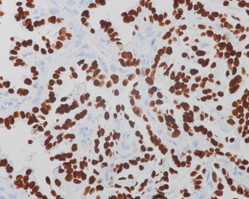
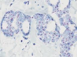
Immunistochemie
In der Immunhistochemie werden durch die Verwendung von Antikörpern bestimmte Merkmale am Gewebe sichtbar gemacht, wodurch sich diagnostisch wertvolle Informationen ergeben (beispielsweise ob Hormonrezeptoren exprimiert werden), die für die Therapie von wesentlicher Bedeutung sein können.

Zytologie
Die zytologische Untersuchung von genitalen- und extragenitalen Abstrichen sowie durch Punktion oder Spülung gewonnenen Flüssigkeiten ist eine sehr wichtige Methode zum Vorsorgescreening (gynäkologische Abstriche), in der Verlaufskontrolle durchgemachter Erkrankungen (Harnblasenzytologie) oder zur aktuellen Dignitätsbeurteilung (zb. Ergüsse der serösen Höhlen).

Molekularpathologie
Mittels molekularpathologischer Diagnostik können genetische Veränderungen bestimmt werden (zb. ob Tumoren bestimmte Mutationen aufweisen), die einer spezifischen Therapie zugänglich sind. Neben in-situ-Hybridisierung kommt hier beispielsweise NGS (new generation sequencing) zur Anwendung. Um alle routinemäßig notwendingen Mutationen anbieten zu können, arbeiten wir mit Partnerinstituten zusammen.

Gefrierschnittuntersuchungen
Für die Versorgung der öffentlichen und privaten Krankenanstalten mit denen wir zusammenarbeiten und die eine intraoperative Schnellschnittdiagnostik wünschen, führen wir diese vor Ort durch. Je nach individuellen Bedürftnissen unserer Kooperationspartner können dabei auch telepathologische Lösungen zur Anwendung kommen.